Before and after

Transformations of our patients after the interventions

Smile transformation using the latest digital technologies
Tooth abrasion can be successfully solved both functionally and aesthetically with zirconia crowns
Patient with a smile is a happy patient
The patient, after undergoing aligner therapy, wanted to further enhance her smile aesthetically, which we achieved with metal-free crowns
 Proof that metal-free crowns, with good collaboration between the dentist and the patient, can look natural
Orthodontic therapy for pre-prosthetic preparation allows for better tooth positioning for future ceramic restorations and enables a more natural crown aesthetics
A smile plays one of the key roles in our self-confidence, which is why it's essential to smile as much as possible
Tooth abrasion can negatively impact the temporomandibular joint, which is why it is essential to restore the bite height in order to preserve its physiological function
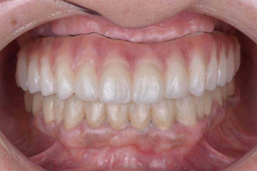
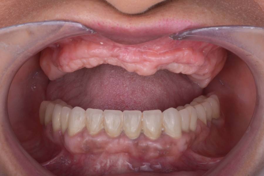
All on X procedures enable both functional and aesthetic rehabilitation for the patient
A toothless patient rehabilitated with prosthetic work on implants
Reconstruction of bruxism and aesthetics with zirconia crowns using the latest technologies
Metal-free crowns in bleach shades can look natural
Smile makeover – we replaced old metal-ceramic crowns with new zirconia crowns
Replacement of lost teeth with implants and metal-free crowns
New zirconia crowns bring a new level of confidence
The patient wanted to correct the aesthetics of their smile and the color of their teeth
Metal-free zirconia crowns in shade A1
Zirconia crowns in A1 natural shade

Sign In