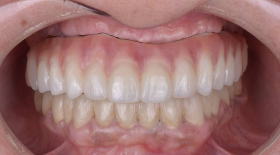
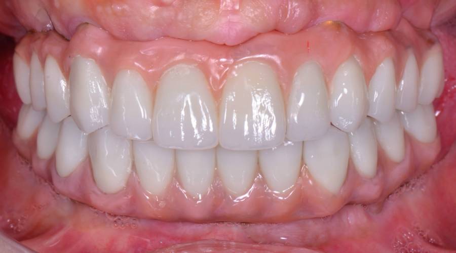
Implant retained fixed prosthesis on implants is a modern solution for restoring the function and aesthetics when natural teeth are lost or severely damaged. In our clinic, we offer the option of prosthetic work on 4 and 6 implants, which provide stability and long-lasting results, even for patients who have previously had dental issues.

What are implants?
Implants are small titanium replacement for "roots" of teeth, that are placed in the jaw, onto which crowns or bridges are then attached. This is an extremely efficient way to restore a smile and improve chewing function.

Why 4 or 6 implants?
With traditional prosthetic solutions, such as bridges or dentures, a lot more implants are needed. However, with the technique of placing 4 or 6 implants, we can create a stable foundation for bridges or dentures that will stay firmly in place in the mouth. This method is suitable for patients who lack sufficient bone or who want a less invasive solution. In many cases, patients only need 4 or 6 implants to create a stable structure that lasts for many years.

Advantages of this method:

Fewer implants, same effect – In many cases, 4 or 6 implants can support the entire jaw, reducing the need for multiple surgeries and expensive procedures.

Faster recovery – Placing a smaller number of implants means recovery often happens more quickly, with minimal discomfort.

Stability – Implants allow for secure attachment of teeth, meaning dentures or bridges will not slip or cause discomfort.

Aesthetics and functionality – Prosthetic work on implants restores the natural appearance of teeth, with full functionality during chewing, improving the quality of life.

In our clinic, each patient is treated individually, and we strive to provide you with the best possible result. With our team of dentists, you can be sure you will receive high-quality implants and prosthetic work tailored to your needs and desires.